首頁 應用領域 政府單位 疾控中心病理學實驗室的顯微鏡應用

疾控中心病理學實驗室的顯微鏡應用

疾控中心病理學實驗室的顯微鏡應用

在應對新發傳染病、慢性病及全球公共衛生挑戰中,疾控中心的病理學實驗室承擔著疾病診斷、病原體鑒定及公共衛生事件溯源等關鍵任務。光學顯微鏡作為實驗室的基礎設備,在組織病理學分析、病原體檢測及機制研究中發揮著不可替代的作用。

疾控中心病理學實驗室的顯微鏡應用

病理學實驗室中顯微鏡的應用

光學顯微鏡在疾控中心病理學實驗室中貫穿疾病診斷、機制研究及公共衛生決策的全流程。它是疾病診斷的“眼睛”、科學研究的“探針”、防控決策的“基石”。

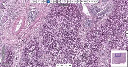
明美切片掃描儀MDS4掃描的人肝癌切片

顯微成像技術在病理學觀測中的挑戰

1、微小結構觀察困難:細胞和組織中的一些微小結構,如細胞器、生物大分子復合物等,其尺寸往往在光學顯微鏡的分辨率極限附近或以下。 2、對比度問題:一些樣本的對比度較低,使得細胞和組織的細微結構難以區分。 3、光學像差:如球差、色差和像散等光學像差會影響圖像的清晰度和準確性。

明美切片掃描儀掃描的免疫組化切片

MSHOT 明美顯微鏡解決方案

明場觀察方案 推薦正置生物顯微鏡ML45/ML51-N/ML31+ 顯微鏡相機MDX10/MD60:適用于葡萄球菌、霍亂弧菌、念珠菌等的明場觀察。 數智化生物顯微鏡ML45:放大40X-1000X,編碼式物鏡轉盤,亮度記憶,LED數顯屏,顯示當前工作狀態,ECO人走燈滅,可升級相差、暗場、簡易偏光和熒光觀察 顯微鏡相機MDX10:2000萬高像素,1英寸大版面芯片,全分辨率下22幀/秒,兼顧高清與速度

產品推薦
微信分享

微信掃描二維碼,點擊右上角 ··· 按鈕

轉發給朋友或分享到朋友圈

電話咨詢

Tel:18102637572
QQ

QQ咨詢

505506350
微信二維碼

微信咨詢

微信

分享微信

TOP