顯微成像·洞察微觀之美

Microscopic imaging, insight into the beauty of micro

疾控中心職業衛生實驗室的顯微鏡應用
疾控中心職業衛生實驗室的顯微鏡應用
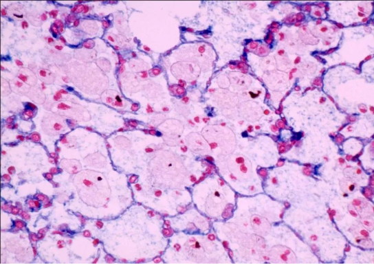
疾控中心病理學實驗室的顯微鏡應用
疾控中心病理學實驗室的顯微鏡應用
疾控中心病毒實驗室的顯微鏡應用
疾控中心病毒實驗室的顯微鏡應用
疾控中心微生物檢測實驗室顯微鏡應用
疾控中心微生物檢測實驗室顯微鏡應用
食藥監局食品安全評價實驗室的顯微鏡應用
食藥監局食品安全評價實驗室的顯微鏡應用
食藥監局藥品安全評價實驗室的顯微鏡應用
食藥監局藥品安全評價實驗室的顯微鏡應用
出入境檢驗檢疫局工業品檢測實驗室顯微鏡應用
出入境檢驗檢疫局工業品檢測實驗室顯微鏡應用
出入境檢驗檢疫局細菌學實驗室顯微鏡應用
出入境檢驗檢疫局細菌學實驗室顯微鏡應用
水產
水產
兩蟲
兩蟲
互動教學
互動教學
微信分享

微信掃描二維碼,點擊右上角 ··· 按鈕

轉發給朋友或分享到朋友圈

電話咨詢

Tel:18102637572
QQ

QQ咨詢

505506350
微信二維碼

微信咨詢

微信

分享微信

TOP