顯微成像·洞察微觀之美

Microscopic imaging, insight into the beauty of micro

首頁 行業動態 客戶案例 華中科技大學科研新成果 明美高清顯微相機保駕護航

華中科技大學科研新成果 明美高清顯微相機保駕護航

發布時間:2026-04-21

訪問量:24

一、科研成果重磅發表

10 月 17 日,華中科技大學生殖健康研究所袁水橋教授課題組,在國際頂級期刊《自然 - 通訊》(Nature Communications)在線發表雄性生殖重磅研究論文,題為UHRF1 suppresses retrotransposons and cooperates with PRMT5 and PIWI proteins in male germ cells。研究首次闡明UHRF1 蛋白在雄性哺乳動物生殖細胞中的核心調控機制:UHRF1 串聯 DNA 甲基化、組蛋白修飾、piRNA 三大信號通路,作為關鍵分子紐帶抑制逆轉錄轉座子異常激活,精準保障精子正常發生,守護男性生育健康,為男性不育診療提供全新分子靶點。


二、小鼠模型深度解析 揭示精子發育關鍵機制

袁水橋教授團隊依托前期科研基礎,采用條件性基因敲除技術,特異性敲除小鼠生殖細胞 Uhrf1 基因。實驗結果顯示:基因敲除小鼠完全不育、睪丸顯著萎縮、附睪無成熟精子生成。細胞學表型證實,生精細胞發育停滯于減數分裂前期粗線期精母細胞階段,直接證明UHRF1 嚴格調控精母細胞減數分裂進程。同時科研發現:敲除小鼠生殖細胞內 Line1 逆轉錄轉座子異常激活、基因組 DNA 低甲基化、抑制性組蛋白 H3K9me3 下調、激活性組蛋白 H3K4me2 異常升高。高通量測序進一步驗證,小鼠睪丸 Pachytene piRNA 組分大幅減少,MIWI、MILI、MVH、TDRKH 等 piRNA 通路關鍵蛋白表達與定位紊亂;免疫共沉淀實驗明確UHRF1 與 PIWI 家族蛋白存在直接互作。本次研究完整破解精母細胞減數分裂逆轉錄轉座子沉默分子網絡,創新確立 UHRF1 多通路協同調控雄性生殖發育的核心作用。


三、國產生科研顯微相機|明美 MSX2 賦能高分科研成像

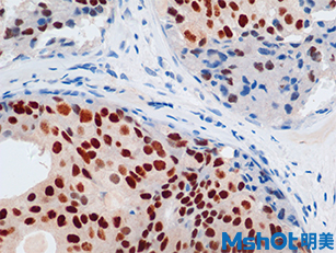
本次華中科大雄性生殖顯微觀測、細胞形態分析、熒光定位實驗,全程采用明美 MSX2 科研級熒光顯微鏡相機加持。作為國產自主研發高端顯微成像設備,明美 MSX2 搭載大靶面高性能成像芯片,配備 USB3.0 高速傳輸接口,具備超高分辨率、色彩精準還原、弱光高靈敏度三大優勢。相機完美適配明暗場、相襯、偏光、DIC、熒光多場景顯微成像,在液基細胞分析、免疫組化、骨髓細胞檢測、生殖生殖細胞微觀觀測等高色準需求場景表現優異,穩定輸出高清科研顯微圖像,為華中科大生殖課題數據采集、成果論證提供硬核國產成像支撐。


四、中國造正當潮|國產顯微儀器崛起賦能前沿科研

從 2009 年行業標簽 “代工、低價、三無”,到 2019 年全面轉向自主研發、核心技術、高性價比,國產科研光學品牌完成跨越式升級。明美深耕顯微成像領域多年,持續突破核心光學與成像芯片技術,以國產高端顯微鏡相機持續助力高校、醫院、科研院所 Nature 子刊、SCI 高分論文發表。國產科研設備技術實力飛速攀升,不僅彰顯中國光學科技創新硬實力,更全面助推我國生殖醫學、生命科學前沿研究高質量發展,國貨顯微科技,護航大國科研。




UHRF1蛋白成像:

                                   

微信分享

微信掃描二維碼,點擊右上角 ··· 按鈕

轉發給朋友或分享到朋友圈

電話咨詢

Tel:18102637572
QQ

QQ咨詢

505506350
微信二維碼

微信咨詢

微信

分享微信

TOP