微信掃描二維碼,點擊右上角 ··· 按鈕
轉發給朋友或分享到朋友圈
顯微成像·洞察微觀之美
Microscopic imaging, insight into the beauty of micro
明美生物顯微鏡應用于廣東省生物制品與藥物研究所微核及切片觀察
發布時間:2026-03-19
訪問量:126
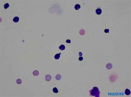
廣東省生物制品與藥物研究所老師在網上找到明美,近期有一整套顯微成像解決方案的需求(包含生物顯微鏡和顯微鏡相機),用來做微核及切片觀察。
微核(micronucleus, 簡稱MCN),是真核類生物細胞中的一種異常結構,是染色體畸變在間期細胞中的一種表現形式。微核往往是各種理化因子,如輻射、化學藥劑對分裂細胞作用而產生的。微核測試用于輻射損傷、輻射防護、化學誘變劑、新藥試驗、食品添加劑的評價,以及染色體遺傳疾病和癌癥前期診斷等各個方面。

解決方案:
根據老師實際需求,明美工程師推薦了性價比高的明美生物顯微鏡ML31和高分辨率顯微鏡相機MSX1,整套方案搭建后老師看樣品效果滿意,尤其在100X油鏡下觀察可以和進口顯微鏡相媲美,而且顯微鏡相機色彩還原性比較好。


如果您有生物顯微鏡方面的需求或感興趣,歡迎咨詢,期待與您相遇!
微信掃描二維碼,點擊右上角 ··· 按鈕
轉發給朋友或分享到朋友圈