微信掃描二維碼,點擊右上角 ··· 按鈕
轉發給朋友或分享到朋友圈
顯微成像·洞察微觀之美
Microscopic imaging, insight into the beauty of micro
明美顯微鏡相機助力深圳某醫療科技生物試劑檢測
發布時間:2026-03-19
訪問量:119
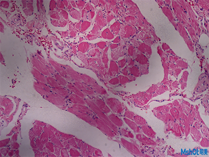
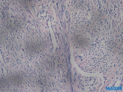
病理切片取一定大小的病變組織,用病理組織學方法制成病理切片。病理切片是透明的,在顯微鏡下能夠觀察到組織的形態,搭配顯微鏡相機可對觀察到的形態效果圖進行保存對比,拼接等操作,通過病變的發生發展過程,作出病理診斷。

近日,深圳某醫療科技公司在網上找到我們,客戶已有一臺奧林巴斯倒置顯微鏡IX71,需要配一套高像素顯微鏡相機拍病理切片和熒光切片,深圳區域工程師根據老師實際需求推薦了明美科研級顯微鏡相機MSX2,這款顯微鏡相機采用大靶面高性能的成像芯片,設計USB3.0數據傳輸接口,具有高分辨率、顏色還原準確和高靈敏度的特點,其色彩表現,是液基細胞分析、免疫組化、骨髓細胞分析等對顏色要求高的病理診斷的理想工具。此外在明暗場、相襯、偏光、DIC、熒光成像等領域同樣適用。


明美光電,我們用專業的態度,關注您細微的問題,想客戶之所想,急客戶之所急,用十分的品質,填平您產品一分的瑕疵,您若對我們顯微鏡相機有興趣或存在疑惑,明美光電歡迎您咨詢!
微信掃描二維碼,點擊右上角 ··· 按鈕
轉發給朋友或分享到朋友圈